Yotsuba Dental Clinic

よつば歯科・小児歯科

MENU

* *
見えない矯正で自信あふれる笑顔へ 姫路市豊富町の「よつば歯科」で、目立たないマウピース矯正インビザライン を始めませんか?iTeroによる精密診断、月々の分割払いにも対応。初回カウンセリング無料 iTero(3Dスキャナー)導入 デンタルローン分割払い対月々約6,700円応

まずは気軽に「無料カウンセリング」へ

今すぐ無料カウンセリングをWEB予約

*

お電話でのご予約
・相談はこちら

*

歯並びに関する
こんなお悩みは
ありませんか? *

  • 人前で口を開けて笑うことに抵抗がある
  • ワイヤー矯正は「目立つ」「痛そう」と
    諦めていた
  • 結婚式や就職活動など、
    大切な予定までに歯並びを整えたい
  • 矯正費用が総額でいくらかかるか不安
  • 子どもの歯並び、
    いつから相談すべきか悩んでいる
*

そのお悩み、
インビザラインが解決します

* *
*
インビザラインは、透明で目立ちにくいマウスピース型の矯正装置です。
食事や歯磨きの際はご自身で取り外せるため、衛生的かつ快適。
ワイヤー矯正のような痛みも少なく、あなたのライフスタイルに合わせて無理なく理想の歯並びを目指せます。
* *

Benefits

インビザラインのメリット

*

目立ちにくい

透明なマウスピースで、
周りに気づかれにくい。

*

快適・衛生的

取り外して食事も歯磨きも
いつも通り。

*

痛みが少ない

ワイヤー調整の痛みがなく、
口内炎リスクも軽減。

* *

Features

よつば歯科・小児歯科が
選ばれる3つの理由

当院は、患者様が安心して治療をスタートできるよう、先進設備の導入と透明性の高い
料金体系、
そして小児歯科ならではの視点をご提供します。

* *
* *

3Dスキャナー「iTero」導入

光学3Dスキャナー「iTero」で精密な歯型を採取。不快な型取りは不要です。治療後の歯並びをその場で3Dシミュレーションでき、ゴールを共有しながら最適な計画を立てます。
* *

調整料・検査料込みの「総額提示」

提示する料金には、初回カウンセリング、精密検査(クリンチェック)、治療中の調整料がすべて含まれます。追加費用の心配なく、安心して治療に専念いただけます。
* *

小児歯科併設の専門性

インビザラインだけでなく、お子様の筋機能矯正「マイオブレース」にも対応。
お子様の歯並び相談から大人の本格矯正まで、ご家族皆様のお口の健康をサポートします。
院内には キッズスペース も完備しているため、小さなお子様連れでも安心して通院いただけます。(家族割あり)

Flow

インビザライン
治療開始までの流れ

当院では、患者様との対話を重視し、ご納得いただいた上で治療を開始します。
無理な勧誘は一切ありませんので、まずはお気軽にご相談ください。

*

初回無料カウンセリング

お悩みやご希望を伺い、治療の概要や費用をご説明します。

*

無料検査(iTeroスキャン)

iTeroでお口の中をスキャンし、現状の歯並びを確認。簡易シミュレーションも可能です。

*

精密検査・治療計画

レントゲン撮影などを行い、詳細な治療計画(クリンチェック)を作成します。

*

ご契約・治療開始

治療計画にご納得いただけたらご契約。
オーダーメイドのマウスピースが完成次第、治療スタートです。

*

アフターケア

治療完了後も、後戻りを防ぐための保定(リテーナー)までしっかりサポートします。

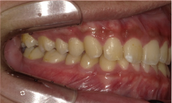
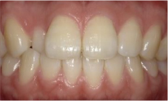
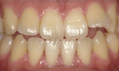
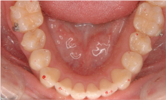
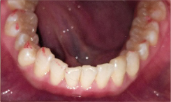
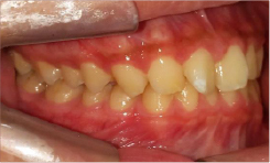
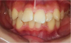
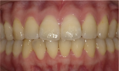
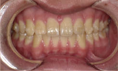
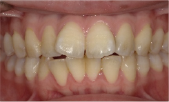
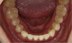
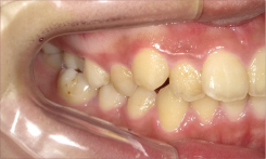
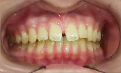
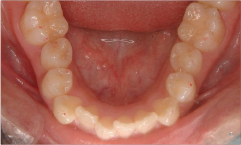
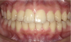
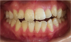
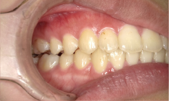
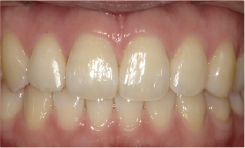
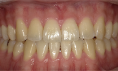
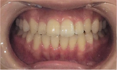
Case

治療症例のご紹介

当院でインビザライン治療を受けられた患者様の症例です。
※当院では、症例写真にご協力いただける方向けの「モニター制度」もご用意しております。

*
*
ご年齢
20代女性
主訴
前歯がかみ合わない
治療期間
2年
料金
74万円
治療内容
前歯でしっかり咬めるようにし全体の歯列を整えた。
リスク・副作用
インビザラインは挺出の動きが得意でないため他の装置と組み合わせて使用することもあり。
*
*
ご年齢
20代女性
主訴
歯並びを治したい
治療期間
2年
料金
80万円
治療内容
半年後にある結婚の前撮りに間に合わせるように前歯を優先的に並べ、それから奥歯を整えた。
リスク・副作用
そのため期間が長くなった。そして途中に出産が入り当初の計画より長引いた。
*
*
ご年齢
20代女性
主訴
かみ合わせが反対になってる前歯が気になる
治療期間
2年
料金
30万円
治療内容
反対咬合になっている部分を動かし改善するため歯列全体を整えた。
リスク・副作用
くいしばりが強いため装置に穴が開いたこともあり。
*
*
ご年齢
10代女性
主訴
歯並びを治したい
治療期間
3年6ヶ月
料金
88万円
治療内容
抜歯矯正を考えたが、患者さんからは抜歯矯正ではなく非抜歯を強く希望された。
リスク・副作用
スペースを作る期間に加えインビザラインは捻転歯のコントロールが苦手なため期間がかかった。
*
*
ご年齢
10代男性
主訴
受け口を治したい
治療期間
1年7ヶ月
料金
74万円
治療内容
非外科、非抜歯で行った。その当時インビザラインが可能な移動量の最大近くまで下顎の奥歯を奥へ移動させた。
リスク・副作用
そのため保定など動的治療後の管理がシビアに。
*
*
ご年齢
20代女性
主訴
歯並びを治したい
治療期間
2年
料金
74万円
治療内容
非抜歯で歯列全体を整えた。
リスク・副作用
くいしばりが強く装置に穴が開くこともあり。
*
*
ご年齢
10代男性
主訴
歯並びを治したい
治療期間
2年3ヶ月
料金
88万円
治療内容
非抜歯で歯列全体を整えた。
リスク・副作用
インビザラインは捻転歯の改善が苦手なため再スキャンを何度か行った。
*
*
ご年齢
10代女性
主訴
歯並びを治したい
治療期間
1年2ヶ月
料金
88万円
治療内容
抜歯矯正になるが非抜歯による治療を強く希望された。
リスク・副作用
抜歯矯正となるところをなんとか非抜歯で矯正したため保定など動的治療後の管理がシビアになっている。
*
*
ご年齢
20代女性
主訴
歯並びを治したい
治療期間
1年6ヶ月
料金
88万円
治療内容
非抜歯にて歯列全体を整えた。
リスク・副作用
くいしばりが強く後戻り防止のための保定がシビア。
*
*
ご年齢
10代男性
主訴
歯の隙間を治したい
治療期間
6ヶ月
料金
80万円
治療内容
隙間改善しつつ歯列全体を整えた。
リスク・副作用
インビザラインが得意な動きが多く期間が短かったが虫歯予防と並行するのが重要。

Message

院長ご挨拶

*

院長 橋本悠佑

笑顔に自信が持てる毎日を
私たちがサポートします

院長の橋本悠佑です。よつば歯科・小児歯科は、姫路市豊富町の皆様のお口の健康を守るパートナーでありたいと願っています。特に矯正治療は、見た目の美しさだけでなく、噛み合わせや将来の虫歯予防にも繋がる大切な治療です。目立たないインビザラインで、患者様が心から笑える毎日を手に入れるお手伝いをさせてください。

院長 橋本悠佑

経歴

  • 大阪歯科大学大学院 歯科矯正学講座博士課程を修了し、博士号(歯学)を取得
  • 日本矯正歯科学会 会員
  • 日本小児矯正研究会 会員

Support

安心して治療を
続けていただくための体制

当院はインビザライン治療の質を高める設備を導入しています。
治療中の定期チェックも保険の範囲内で丁寧に行い、患者様の不安に寄り添います。

*

先進の3Dスキャナー「iTero」

*

定期チェック(保険適用内)

Voices

実際に治療を終えられた
患者様の声

「始めてよかった」とのお声を
多数いただいています。

本当に目立たなくて、周りに気づかれずに矯正できました。iTeroのシミュレーション通りに綺麗になって感動です。

*

分割払いができたので無理なく始められました。総額が決まっていたのも安心でした。

*

部活も食事も今まで通りできました。痛みもほとんどなくてよかったです。

*

Prices

明確で安心の
料金プラン

当院は、精密検査料・調整料・クリンチェック料がすべて含まれた総額提示(トータルフィー制)です。
治療途中で追加費用は発生しません。(※マウスピース紛失時の再発行費(1枚1.1万)を除く)

治療メニュー
料金(税込)
備考
インビザライン・フル
850,000円
全体的な歯並びの治療
(調整料・検査料込)
マイオブレース
440,000円
お子様の筋機能矯正
(5〜10歳目安)
初回カウンセリング
無料
iTeroによる
簡易スキャン含む

Campaign

お得な制度

*

症例写真にご協力いただける方は

インビザライン・フル(モニター)

通常 85万円 * 特別価格 80 万円

(税込)

*

家族割もあります

親子・ご兄弟・姉妹で
矯正を始められる場合

それぞれ1割引
*

お支払い方法

デンタルローン・分割払いに対応しています 「まとまった費用が不安」という方もご安心ください。デンタルローン(SCO・年利3.6%)や各種クレジットカードに対応。柔軟なお支払い方法をご提案します。 (例:クリンチェック時に35万円、その後マウスピース1枚につき1万円など)

Question

よくあるご質問

マウスピース矯正に関する、
よくある疑問にお答えします。

治療期間はどのくらいですか?

歯並びの状態によりますが、全体矯正(フル)の場合、1年半〜3年程度が目安です。
iTeroシミュレーションで治療期間の目安もご確認いただけます。

痛みはありますか?

テキスト/テキスト/テキスト/テキスト/テキスト/テキスト/テキスト/テキスト/テキスト/テキスト/テキスト/テキスト/テキスト/テキスト/テキスト/テキスト/テキスト/テキスト/テキスト/テキスト/テキスト。

1日何時間装着が必要ですか?

テキスト/テキスト/テキスト/テキスト/テキスト/テキスト/テキスト/テキスト/テキスト/テキスト/テキスト/テキスト/テキスト/テキスト/テキスト/テキスト/テキスト/テキスト/テキスト/テキスト/テキスト。

1日何時間装着が必要ですか?

テキスト/テキスト/テキスト/テキスト/テキスト/テキスト/テキスト/テキスト/テキスト/テキスト/テキスト/テキスト/テキスト/テキスト/テキスト/テキスト/テキスト/テキスト/テキスト/テキスト/テキスト。

治療期間はどのくらいですか?

テキスト/テキスト/テキスト/テキスト/テキスト/テキスト/テキスト/テキスト/テキスト/テキスト/テキスト/テキスト/テキスト/テキスト/テキスト/テキスト/テキスト/テキスト/テキスト/テキスト/テキスト。

虫歯がある場合でも治療できますか?

テキスト/テキスト/テキスト/テキスト/テキスト/テキスト/テキスト/テキスト/テキスト/テキスト/テキスト/テキスト/テキスト/テキスト/テキスト/テキスト/テキスト/テキスト/テキスト/テキスト/テキスト。

Access

アクセス・医院情報

姫路市豊富町甲丘、駐車場も完備しております。
皆様のご来院を心よりお待ちしております。

〒679-2124 兵庫県姫路市豊富町甲丘3丁目88
神姫バス「江鮒団地」停留所より徒歩1分

診療時間
10:00~11:30
14:00~18:00

受付時間/9:00-11:30、14:00-18:00
休診日/木曜・日曜・祝日
※祝日がある週は木曜午前のみ診療、お電話にてご確認ください

「私にもできるかも」と思ったら、
まずは一歩を踏み出しませんか?

*

歯並びのお悩みは、一人で抱え込まずに、ぜひ一度ご相談ください。よつば歯科が、あなたの「なりたい笑顔」を全力でサポートします。無理な勧誘は一切ありませんので、お気軽に無料カウンセリングへお越しください。

今すぐ無料カウンセリングをWEB予約

*

お電話でのご予約
・相談はこちら

*

© よつば歯科・小児歯科

今すぐ無料カウンセリングをWEB予約

*

お電話でのご予約・相談はこちら

*
ご予約・お問い合わせ 079-264-1758
無料カウンセリング WEB予約はこちら